View Online ยป
OptometryWeb: The Ultimate Online Resource for Ophthalmologists!
facebook twitter
"Follow" Us On Twitter!
Did You Know OptometryWeb is on Twitter? "Follow" Us for:
  • Daily News
  • Indepth Features
  • The Latest Products & Equipment
  • Engaging Videos
  • Technology Guides
  • Event Updates

...and News and Opinions on the Latest Issues Affecting Your Practice and Patients!. Learn more
Featured Article
Facebook Live: How to Engage Your Community with Live Video
Facebook Live: How to Engage Your Community with Live Video
As an eye care provider, you can use Facebook Live to build and strengthen relationships with your patients and prospects. Before you make your big debut, here are a few tips to keep in mind.. Learn more
Featured Product
SL-2G Slit Lamp
SL-2G Slit Lamp
The SL-2G is a clinical slit lamp for use in eye examination. It features a compact illumination unit with an LED instead of traditional bulbs. The unit houses the adjustable slit mechanism with up to 14mm of aperture. The slit angle can be rotated 180 degrees and a set of red free and cobalt blue filters can be inserted by lever movement. Magnification changes are done through a rotating drum  Learn more
Latest News
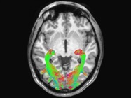
Changes in Visual System May Help in Early Detection of Parkinson's Disease
Changes in Visual System May Help in Early Detection of Parkinson's Disease
Changes in the visual systems of newly-diagnosed Parkinson's disease patients may provide important biomarkers for the early detection of the disease.. Learn more
Researchers Find Repetitive Training Can Help Improve Athletes' Depth Perception
Researchers Find Repetitive Training Can Help Improve Athletes' Depth Perception
Researchers have found the depth perception of athletes can be improved using repetitive stereoscopic stimuli.. Learn more
New NEI-Funded Research Aims to Prevent Cataracts
New NEI-Funded Research Aims to Prevent Cataracts
New research funded by NEI aims to not only reverse progression of cataracts, but prevent them from forming altogether.. Learn more
Video Spotlight
Introducing D-EYE: The Smartphone-Based, Portable Retinal Imaging System
Introducing D-EYE: The Smartphone-Based, Portable Retinal Imaging System
Introducing the D-EYE portable retinal imaging system. D-EYE turns a smartphone into a portable fundus camera, capable of recording and transmitting high-definition photos and videos of the posterior of the eye for clinical assessment.. Learn more
More Videos »
New Listings
Original Ishihara Color Test 38-Plate
Original Ishihara Color Test 38-Plate

The Original Ishihara Color Test is an example of a color perception test for red-green color deficiencies. The test consists of colored plates, called Ishihara plates, each of which contains a circle of dots appearing randomized in color and size. Within the pattern are dots which form a number or shape clearly visible to those with normal color vision, and invisible, or difficult to see, to  Learn more
LM-1200 Auto Lensmeter
LM-1200 Auto Lensmeter
The LM-1200 automatic lensmeter has the latest technology in lens measurement, utilizing 108 points of data through the use of the Hartmann-Shack principle. Wavefront technology allows faster measurements on all lenses, with greater consistency and reliability.

This automatic lensmeter offers expanded prism measurement range to 20 diopters. The LM-1200 also offers greater versatility in measuring

 Learn more
Events
Envision Conference 2017
Envision Conference 2017
The annual Envision Conference is the premier international conference networking with medical professionals, researchers and industry representatives wanting to share their ideas on how to improve the lives of people with low vision.. Learn more
OptometryWeb: The Ultimate Online Resource for Ophthalmologists!
facebook twitter
You received this email because you are subscribed
to our database. Need to change your settings?
Email Settings or Unsubscribe here